
Физиологические причины боли при лежании на спине
Практически каждый человек за свою жизнь хотя бы раз испытывал боль в спине в положении лежа. Это не значит, что у него развивается болезнь. Причиной подобного состояния нередко выступают следующие факторы:
- Чрезмерная физическая активность.
- Неудобная поза для лежания. Боль в спине после сна – довольно распространенный симптом при неправильном расположении тела во время отдыха.
- Переутомление или длительное пребывание в горизонтальном положении.
Указанные причины легко устанавливаются и ликвидируются. Результатом этого становится спина без боли. Об отсутствии патологии свидетельствует эпизодичность болевого синдрома и его низкая интенсивность, а также четко прослеживаемая связь с нарушением гигиены труда или отдыха.
Патологические причины болевого синдрома
Хронический или высокоинтенсивный болевой синдром может свидетельствовать о развитии заболевания. Существует множество патологий, провоцирующих боль.
Ноющая боль в спине даже в лежачем положении может быть вызвана анкилозирующим спондилоартритом (болезнь Бехтерева). Патология также сопровождается деформацией позвоночника.
Хроническая боль в спине в положении лежа является одним из симптомов остеохондроза, дегенеративных процессов межпозвоночных дисков, поражений мышц или связок.
Если боль в спине отдает в правую ногу или левую, логично думать о защемлении или поражении седалищного нерва, межпозвоночной грыже в поясничном отделе позвоночника, стенозе позвоночного канала.
Помимо заболеваний опорно-двигательного аппарата неприятный симптом в положении лежа может быть спровоцирован болезнями внутренних органов. Когда боль в спине отдает в правый бок, стоит думать о холецистите или язвенной болезни желудка. Боль в правом подреберье сзади со спины нередко сигнализирует об остром панкреатите. У женщин такой признак иногда сопровождает воспалительные заболевания яичников.
Боль и обезболивание
Очевидно, что причин для возникновения соответствующего симптома существует довольно много. Эффективное обезболивание во многом зависит от качественной диагностики основного провоцирующего фактора.
Пациенты часто интересуются у своего врача, что делать при боли в спине. Для обезболивания чаще всего применяются:
- Нестероидные противовоспалительные средства (ибупрофен, парацетамол и другие).
- Спазмолитики (дротаверин, папаверин).
- Наркотические анальгетики (при серьезных травмах или онкологических процессах).
Помимо медикаментозного лечения широко используется мануальная терапия, разнообразные типы массажа, иглоукалывание. Одним из эффективных методов лечения боли является физиотерапия. Доказано, что влияние электрического тока, ультразвука или магнитного поля благоприятно сказывается на снижении выраженности болевого синдрома.
Аппарат «Меркурий»

Он способен генерировать электрические импульсы заданной силы. В нем установлены разные режимы воздействия на организм человека для подбора максимально подходящего типа физиотерапевтического воздействия.
Применение аппарата «Меркурий» позволяет:
- лечиться без постоянных денежных затрат;
- лечиться безопасно, без побочных эффектов;
- устранять боль по мере её возникновения, без визита к врачу (при условии уже установленного ранее диагноза);
- устранять боль в любое время суток, не выходя из дома;
- уменьшить дозировки обезболивающих препаратов или полностью от них отказаться.
Использовать «Меркурий» желательно в комплексе с другими терапевтическими методами для достижения быстрого и качественного результата.
Источник
Самый крупный сустав в теле человека – тазобедренный. Вполне естественно, что он испытывает колоссальную нагрузку, которая может однажды спровоцировать патологические нарушения в этом сочленении. Они зачастую сопровождаются болью в тазобедренном суставе. Появляться такие ощущения могут даже по ночам. Поэтому следует разобраться, почему человек испытывает боль, и какой она может быть. Это даст возможность получить адекватное лечение.
Дискомфорт в области тазобедренного сустава может беспокоить детей до 18-ти лет (организм еще продолжает расти, хотя боль может стать сигналом развития заболевания), и взрослых разного возраста. Причем до 50-ти лет на патологию жалуется практически каждый 3-й обратившийся к врачу человек.
Причины возникновения ночной боли
Важно знать! Врачи в шоке: «Эффективное и доступное средство от боли в суставах существует…» Читать далее…
Итак, существуют такие причины возникновения боли в тазобедренном суставе:
- Заболевания костей, хрящевой ткани, мышц или связок (тендинит, артрит, коксартроз, туберкулез, ревматизм ног).
- Механическое повреждение тазобедренного сустава. Одним из самых распространенных заболеваний такого характера является перелом шейки бедренной кости. Он сопровождается очень сильной болью, которая становится интенсивнее именно по ночам. Травма тазобедренного сочленения полностью ограничивает подвижность сустава.
Разновидности болевых ощущений
В зависимости от того, какое заболевание вызвало боль, она может иметь разный характер. Существуют следующие виды болевых ощущений:
- Острые. Такая боль длится недолго, то есть является кратковременной и приступообразной. Она имеет точную локализацию, поэтому определить ее нетрудно. Такие ощущения лучше всего поддаются лечению.
- Ноющая боль в тазобедренном суставе уже доставляет больше дискомфорта. Ее сложнее определить, так как она может отдавать в другие части тела. Область ее распространения достаточно обширна. Интенсивность ощущений увеличивается постепенно. Лечение заболевания затрудняется и требует более тщательной диагностики.
- Хронические. Такие ощущения максимально трудны для лечения и могут длиться продолжительное время.
Какой бы боль ни была, необходимо обратиться к врачу, так как вовремя не вылеченное заболевание может привести к полному разрушению тазобедренного сустава.
Признаки и характер боли в зависимости от заболевания
Разные заболевания тазобедренного сустава могут по-разному проявляться. Поэтому и лечение назначается индивидуально. Итак, если принимать во внимание характер заболевания, боль и другие признаки могут проявляться так:
Ревматоидный артрит
Это заболевание может развиваться вследствие повреждения тканей тазобедренного сустава на иммунологическом уровне, переохлаждение, физическое перенапряжение, наследственная предрасположенность. Что касается симптомов, то боль имеет среднюю интенсивность. Заболевание сначала затрагивает мелкие сочленения. Ночью больной чувствует скованность, а болевые ощущения усиливаются. Далее патологический процесс распространяется на более крупные суставы. Боль начинает усиливаться при ходьбе. Ревматоидный артрит характеризуется появлением выпота в суставной сумке. Если не начать лечение вовремя, то сочленение начинает со временем деформироваться.
Коксартроз
Причиной развития такого заболевания является изменения структуры хрящевой ткани, нарушение питания и кровоснабжения тканей. Спровоцировать проблему может аномальное строение скелета, нарушение обменных процессов в организме, слишком большая масса тела. Симптоматика при этом такова: изначально появляется стартовая боль, которая имеет умеренную интенсивность. Однако со временем дискомфорт и неприятные ощущения усиливаются.
Если на 1 стадии сначала они появляются только при движении, то с развитием заболевания болевой синдром не проходит даже во время покоя. На второй и третьей стадиях развития патологии боль не исчезает даже ночью. Объем движения уменьшается с каждым днем. Естественно, необходимо обязательно проводить лечение этой болезни. Если она уже запущена, то на 4 стадии патологии придется делать операцию. Дело в том, что болезнь способствует деформации тазобедренного сустава. При данном заболевании болевые ощущения могут появляться даже в боку, паху и колене. Мышцы при коксартрозе сильно напрягаются, больной начинает хромать.
«Врачи скрывают правду!»
Даже «запущенные» проблемы с суставами можно вылечить дома! Просто не забывайте раз в день мазать этим…
>
Болезнь Бехтерева
При болезни Бехтерева боль начинает проявляться не в самом тазобедренном суставе, а в области крестца и поясницы. Ощущения имеют тупой, ноющий характер, могут ощущаться не только в тазобедренном соединении костей, но и в боку, паху, колене и крестце. Болевой синдром максимально интенсивен именно в ночные часы, а также утром перед пробуждением. Лежа человек тоже чувствует дискомфорт. Заболевание протекает периодически. Есть периоды обострения и улучшения состояния.
Артрит инфекционной природы
Эта болезнь тоже может проявляться остро или развиваться постепенно. Болевые ощущения чаще всего наблюдаются с одной стороны. Суставы болят даже в положении лежа. Заболевание провоцирует не только нарушение функциональности тазобедренного сочленения, но и изменение его формы. Часто на поздних стадиях развития этой патологии необходимо хирургическое вмешательство. Присутствуют и другие симптомы: повышение общей температуры тела, интоксикация, что присуще любой инфекционной болезни.
Эта патология является воспалением синовиальной сумки сустава. Оно сопровождается не только болезненными ощущениями, но и ломотой в области представленного сустава. Лежа на поврежденной стороне, больной чувствует максимальный дискомфорт и болевой синдром.
Тенденит
Тендинит — заболевание, которое характеризуется появлением воспалительного процесса в связках. Кроме болевых ощущений, человек чувствует скованность. Он не может отвести конечность в сторону.
Диагностика патологии
Если больной чувствует неприятные ощущения в области тазобедренного сочленения, то он должен обязательно обратиться к доктору. Почему это нужно делать? Это даст возможность назначать адекватное и правильное лечение. Диагностика предполагает проведение таких исследований:
- общий анализ крови, который дает возможность определить, есть ли воспалительное заболевание;
- биохимическое исследование крови. Этот анализ проводится для того, чтобы узнать, хорошо ли проходят обменные процессы в тканях. Он показывает, как именно функционируют внутренние органы: печень, почки и другие. Исследование позволяет подтвердить или опровергнуть наличие злокачественных патологий;
- определение ревматоидного фактора, а также неспецифических маркеров;
- морфологическое обследование сустава, а также проверка синовиальной жидкости на наличие патогенных микроорганизмов. Делать это следует для того, чтобы определить состояние хрящевой ткани;
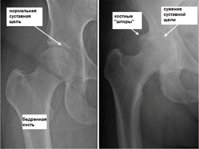
- рентгенография. Это основное исследование, которое позволяет увидеть состояние костной ткани;
- компьютерная томография или МРТ. Данные процедуры являются максимально надежными, так как визуализируют сочленение полностью. Учитываются не только костные и хрящевые ткани, но и мышцы, связки и другие части соединения. Еще представленное исследование позволяет определить причины появления болевых ощущений в тазобедренном сочленении;
- УЗИ;
- артроскопия. Представленное исследование сустава можно делать и для обследования, и для лечения патологии. Для него применяются специальные миниатюрные инструменты.
Специфика ночных болей
При наличии любой из перечисленных выше болезней у человека появляется вопрос: почему дискомфорт и неприятные ощущения ночью проявляются сильнее, чем днем? Дело в том, что во время сна организм старается восстановить свои энергетические запасы, чтобы побороть воспалительные процессы в организме. Именно поэтому болезненность в суставе усиливается.
Однако лечение нельзя начинать без консультации с врачом. Поэтому затягивать с визитом к специалисту нельзя. Будьте здоровы!
Похожие статьи
Как забыть о болях в суставах?
- Боли в суставах ограничивают Ваши движения и полноценную жизнь…
- Вас беспокоит дискомфорт, хруст и систематические боли…
- Возможно, Вы перепробовали кучу лекарств, кремов и мазей…
- Но судя по тому, что Вы читаете эти строки — не сильно они Вам помогли…
Но ортопед Валентин Дикуль утверждает, что действительно эффективное средство от боли в суставах существует! Читать далее >>>
загрузка…
Источник
При нахождении человека в вертикальном состоянии основная нагрузка приходится не только на позвоночник, но и на тазобедренные суставы, поэтому любое нарушение в функционировании этих отделов может приводить к болевому синдрому. Боль в пояснице и тазобедренном суставе может быть разного характера — все зависит от причины поражения и вида патологии. Изначально болевые ощущения могут быть незначительными и практически незаметными, однако постепенно они начнут усиливаться при ходьбе или других движениях и отдавать в ногу.
Не стоит игнорировать такой сигнал организма о помощи, поскольку несвоевременное лечение нарушений тазобедренного сустава может привести в частичной или полной ограниченности в движении.
Виды болевого синдрома и места его локализации
На начальных этапах боль в тазобедренном суставе появляется периодически и в основном беспокоит человека в состоянии покоя, с течением времени болевые ощущения приобретают постоянный характер.
В зависимости от характера протекания боль можно разделить на три группы:
- острая боль – возникает внезапно и длится недолго, определить место ее локализации не составляет труда;
- ноющая боль – отличается обширной зоной поражения и периодическим характером возникновения, определить место локализации затруднительно;
- хроническая боль в левой или правой ноге – беспокоит человека достаточно длительный период (до полугода), лечиться обычно с помощью операции.
При поражении тазобедренного сустава боль, как правило, не распространяется только лишь на место локализации очага воспаления. Страдать могут и другие части тела:
- голень;
- стопа;
- бедра;
- позвоночник;
- ягодицы;
- пах;
- внутренняя, внешняя или задняя части ног.
Если боль тянущая, то, скорее всего, у человека растяжение мышц, которое пройдет самостоятельно через несколько дней. Если же боль в тазобедренном суставе с правой стороны или левой не исчезает через неделю, лучше обратиться за помощью к врачу.
Причины боли в тазобедренном суставе
Боль в пояснице и тазобедренном суставе является результатом разных факторов, которые условно делятся на четыре группы:
- Патологии тазобедренного сустава, нарушения в мышечных тканях и связках, находящихся около него. Сюда можно отнести любые травмы, воспалительные и дегенеративные процессы и т.д.
- Нарушение анатомии сустава, при котором головка кости бедра отклоняется от нормального размещения в вертлужной впадине. К таким состояниям приводят различные вывихи (врожденные или приобретенные в результате травмы), контрактуры мышц бедра и спины, хронические нарушения двигательной способности.
- Системные заболевания – воспалительные процессы лонного или крестцово-подвздошного сочленения, изменения структуры мышц в районе ягодиц, неврологические состояния (ущемление нервов, радикулит или неврит). Иногда к болевым ощущениям могут привести такие вирусные и инфекционные процессы, как грипп, ангина или пиелонефрит, патологии половой системы, осложнения в брюшной полости или области поясницы.
- Боли, вызванные стрессами или психологическими нагрузками. Возникают по причине сильного волнения и быстро исчезают сами по себе.
Боли в ноге в тазобедренном суставе могут свидетельствовать о развитии серьезной патологии, которая при несвоевременном обращении к доктору может привести к инвалидности и двигательной дисфункции.
Симптомы этих заболеваний во многом похожи между собой, но некоторые из них имеют свои особенности:
| Тип заболевания | Характер боли |
|
Сильные боли в тазобедренном суставе при опоре на ногу или становлении на цыпочки. |
|
Боль в тазобедренном суставе возникает в утреннее время и сопровождается скованностью в суставе, далее приобретает постоянный характер. |
|
На ранних стадиях симптомы отсутствуют, далее появляются боли в коленном и тазобедренном суставе. |
|
Боль распространяется на область паха, ягодицы и бедро и усиливается при нагрузке на конечность. |
|
Ноющая боль в тазобедренном суставе, которая постепенно приобретает постоянный характер. |
|
Сначала возникают боли в тазобедренном суставе, после переходят на коленный сустав. |
|
Ноющая боль в тазобедренном суставе, которая усиливается во время активных движений. |
|
Тупая боль в тазобедренном суставе и пояснице, усиливается в ночное время суток. |
|
Тупые боли в тазобедренном суставе, которые усиливаются при любом движении. |
|
Тупые боли в тазобедренном и коленном суставе. |
|
Острая боль в тазобедренном суставе, которая наблюдается сразу после травмы. |
|
Сильная боль в суставе, особенно проявляется во время смены положения или выполнения круговых движений. Доходит даже до состояния болевого шока. |
|
Сильная боль в тазобедренном суставе и паху, которая усиливается во время совершения движений. |
|
В зависимости от стороны повреждения наблюдается боль в тазобедренном суставе слева или справа. Вов время совершения движений или пальпационного обследования ощущения усиливаются. |
|
Ноющая боль в тазобедренном суставе, которая постепенно усиливается. |
|
Острая боль в тазобедренном суставе, которая носит периодический характер. В области распространения болевого синдрома наблюдается специфический щелчок. |
|
Острые боли в тазобедренном суставе – в левом или в правом, которые возникают при малейшем движении. Возможно состояние шока. |
Помимо заболеваний, непосредственно поражающих тазобедренный сустав, боли могут возникнуть и по ряду других причин.
Боль в крестце, отдающая в ногу
Очень часто боль в правом тазобедренном суставе или в левом суставе может сочетаться с неприятными ощущениями в области крестца и поясницы. Причинами этих ощущений могут быть:
- травмы разного характера;
- аномальное развитие или строение позвоночника;
- остеохондроз;
- наличие опухолей;
- тромбофлебит;
- простатит;
- стрессы;
- гинекологические заболевания;
- туберкулез.
Боли в пояснице, отдающие в ногу
Болевой эффект возникает в крестце и по всей спине, при этом отмечается боль в правом тазобедренном суставе или левом тазобедренном суставе. Причины эти ощущений могут быть таковыми:
- патологии опорно-двигательного аппарата – остеопороз, грыжа позвонка, травмы, наличие остеофитов, воспаление хрящевых тканей и мышц, ущемление седалищного нерва;
- болезни, не связанные с нарушением в структуре позвоночника – неправильное кровообращение, опухоли спинного мозга, менингит, остеоартроз тазобедренного сустава;
- проксимальная нейропатия ассиметричного типа – формируется на фоне сахарного диабета или по причине накопления крови за стенкой брюшной полости, сопровождается болью тазобедренного сустава справа и атрофией мышц;
- ишиалгия – характеризуется болью, распространяющейся по всей нижней конечности.
Боли в тазобедренном суставе правой ноги или левой – не единственно возможный вариант развития событий. При некоторых патологиях боль поражает и другие участки тела, например:
- если болевой синдром поражает крестец, можно говорить о развитии воспалительного процесса в этом отделе и находящихся рядом участках;
- поражение корешковой части спинного мозга дополняется болью в пояснице, не переходящей на ноги;
- ущемление седалищного нерва отличается локализацией боли в пояснице, далее она спускается на ягодицы и конечности.
Остеохондроз
Возрастные изменения в организме приводят к тому, что межпозвоночные диски утрачивают влагу и становятся негибкими, в результате даже малейшее движение вызывает существенный дискомфорт и боли в тазобедренном суставе.
Основным признаком развития остеохондроза поясницы является резкая боль в тазобедренном суставе и спине. Помимо болевых ощущений в конечностях, заболевание сопровождается болью в шее, плече.
Основной причиной боли в пояснице и тазобедренном суставе является ущемление корешка. По мере того, как позвоночный диск вырождается, происходит его сжимание и перемещение. Таким образом он воздействует на отходящую от спинного мозга и прижимает ее к кости. Такое состояние называют фораминальный стеноз, при этом наблюдается резкая боль в тазобедренном суставе и пояснице.
Диагностика и лечение боли в тазобедренном суставе
При возникновении первых признаков заболевания необходимо незамедлительно обратиться к специалисту. В зависимости от того какие боли в тазобедренном суставе ощущаются и по ряду других симптомов врач сможет диагностировать заболевание и назначить эффективный курс лечения.
Кроме того, проводится ряд лабораторных и инструментальных исследований, которые позволят дифференцировать заболевание о других схожих патологий. Сюда входят:
- Общий анализ крови, который позволяет установить состояние организма в целом. Если анализ показал анемию, нужно обязательно уточнить характер ее развития. Количество лейкоцитов позволит установить степень тяжести состояния пациента, уровень тромбоцитов обязательно определяется перед проведением операции.
- Исследование мочи – здесь важно не только определить цвет, прозрачность и плотность, но и установить количество белка, глюкозы и билирубина.
- Биохимический анализ крови и специфические маркеры болезней ревматоидного типа.
- Морфологическое исследование биоптата обычно назначается при подозрении на заболевания костей онкологического характера. Также проводится при фиброзной остеодистрофии, хрящевых экзостозах. Обычно для выполнения исследования выполняют пункцию для забора синовиальной жидкости.
- Рентген и УЗИ – одни из самых точных методов для определения патологий тазобедренного сустава. Позволяют определить наличие перелома, вывиха, артрита или артроза, а также установить причину развития этих заболеваний
- КТ – дает возможность рассмотреть поврежденный сустав в разных проекциях.
- МРТ — визуализирует тканевые структуры в любой проекции. С помощью этого метода можно изучить состояние хрящевой ткани, сосудов, мышечной ткани, надкостницы и дисков позвонка.
- Остеосцинтиграфия – дает четкое изображение кровотока в костях и показывает интенсивность обменных процессов. С помощью этого вида обследования можно определить переломы, артриты, остеомиелиты и злокачественные новообразования.
Терапия в обязательном порядке должна носить комплексный характер и включать не только прием медикаментов, но и другие методы лечения (ЛФК, массаж, физиопроцедуры, диету и т.д.). Для устранения болевых ощущений в курс лечения обычно включаются противовоспалительные и обезболивающие средства. Стоит понимать, что прием этих препаратов не сможет устранить саму причину патологии, а принесет лишь временное облегчение
Хотите получить такое же лечение, спросите нас, как?
Источник







